+compo
سیستم راهبری جراحی جامع با عملکرد بالا در حوزه جراحی مغز و اعصاب و گوش و حلق و بینی با قابلیت استفاده برای جراحی ستون فقرات میباشد.
این سیستم با استفاده از فنآوریهای پیشرفته و دوربین IR با دقت بالا به جراح راهبری دقیقتر و قابل اعتماد ارائه میدهد.

ویژگیهای عمومی
- سیستم طرحریزی مستقل با تمام امکانات لازم
- طراحی مناسب دستگاه با اشغال فضای کم و قابلیت مانور بالا
- راحتی تنظیم نمایشگر مخصوص جراح
- قابلیت پوشش فضای وسیع جراحی با استفاده از بازوهای بلند تنظیم شونده

کاربردها
مغز، پیچیدهترین ساختار در دنیا را دارد، که باعث میشود تصمیمگیری در مورد جراحی و انجام آن با دقت انجام شود و برنامهریزیهای دقیقی برای به حداقل رساندن ریسک خطر در بیمار انجام شود. سیستم نویگیشن میتواند در موارد زیر استفاده شود:
• نمونهبرداری از تومور
• مشاهده ساختار حساس و بحرانی مغز
• برشزدن تومور
همانند جراحیهای جمجه، در جراحیهای گوش و حلق و بینی هم دقت زیادی برای مشاهده مسیرهای خیلی باریک و حفرههای موجود در این ناحیه لازم است. سیستم نویگیشن در ENT میتواند در موارد زیر استفاده شود:
• جراحی سینوسی
• برداشت کیست و پولیپ
• کم کردن فشار چشم
مشخصات فنی
• پشتیبانی انواع مختلف دادههای DICOM مانند CT، MR و PET
• انتقال تصاویر از منابع مختلف مانند: DVD، CD و کارت حافظه
• قابلیت بازبینی ساختار درختی دادهها
• قابلیت بازبینی دادههای تصویری قبل از بارگذاری
• تصحیح اطلاعات بیمار از قبیل نام، نام خانوادگی، سن و غیره
• تشخیص خودکار اشکالات در دادههای تصویری
• بررسی خودکار انطباق دادههای تصویری
• تعیین جهت تصاویر پزشکی با توجه به اطلاعات موجود
• تصحیح جهت دادههای تصویری
• اضافه کردن یک مجموعه داده جدید به مجموعه دادهها
• استفاده آسان از ابزار تصویری، مانند بزرگنمایی، چرخش و انتقال
• تنظیم وضوح تصاویر پزشکی با استفاده از تنظیم سطح ویندوز
• قابلیت نشاندادن تصاویر به طور تمامصفحه
• نمایش گرافیکی از جهت تصویر بیمار
• وجود نوار ابزارهای هوشمند
• اندازهگیری فاصله
• نمایش چند پنجرهای
• تنظیمات پیشرفته رنگ و کنتراست
• ذخیرهسازی خودکار تنظیمات
• پشتیبانی از مانیتورهای با رزولوشن بالا
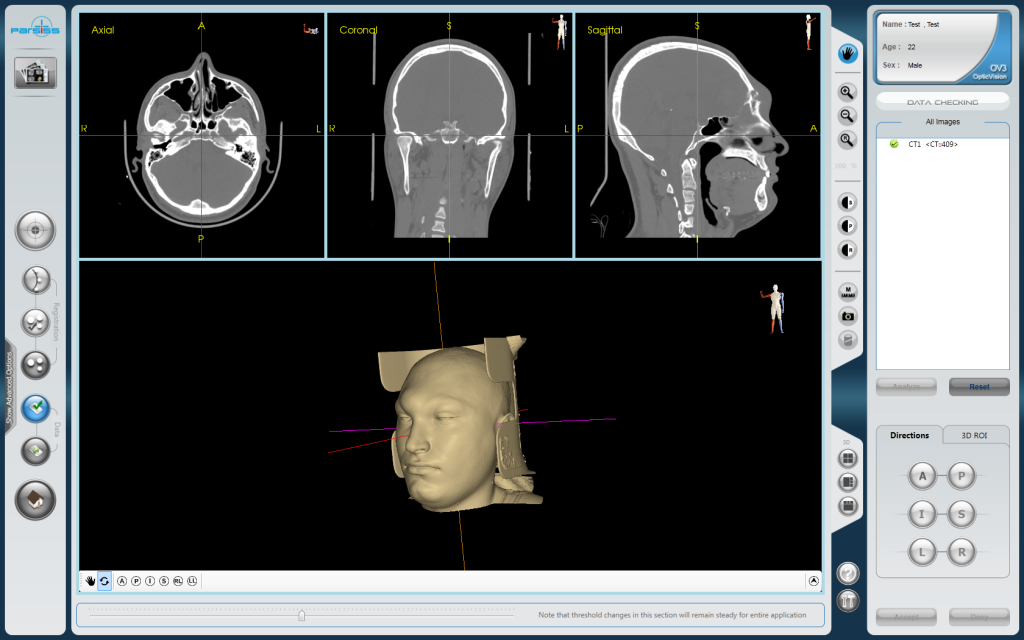
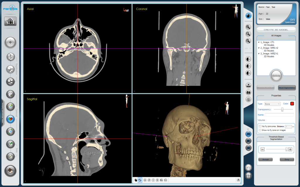
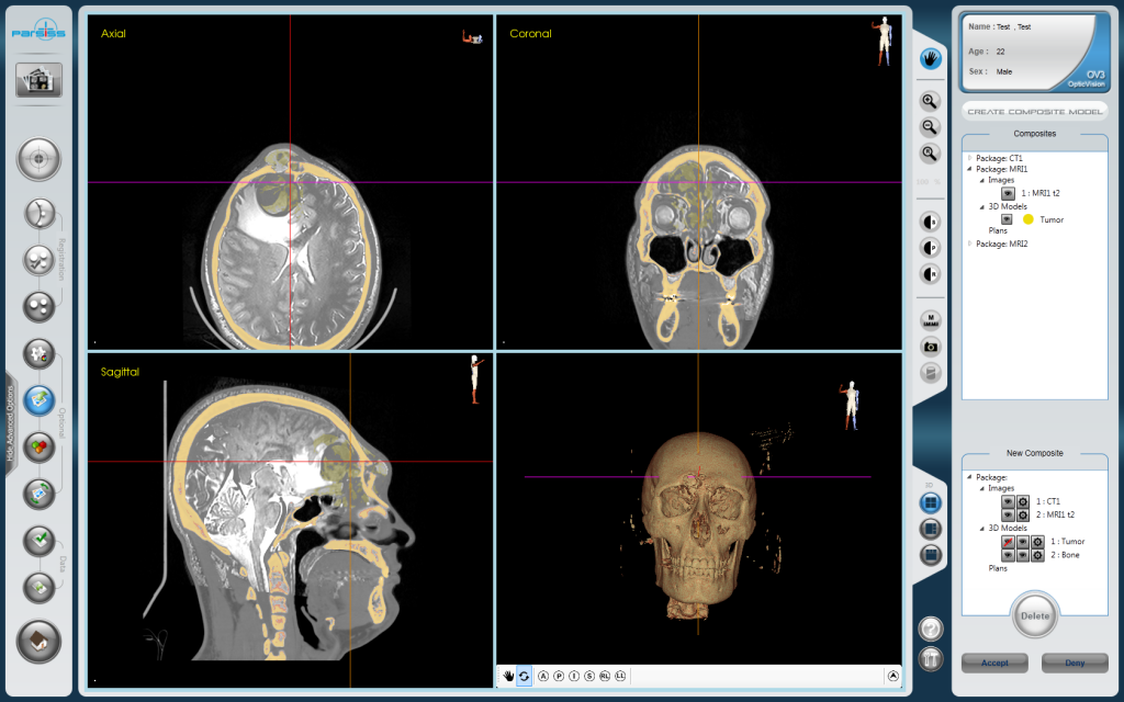
• بخشبندی خودکار استخوان و پوست از روی تصاویر CT
• بخشبندی نیمه اتوماتیک و راحت نواحی دلخواه
• نمایش اعضای بخشبندی شده بر اساس رنگ از پیش تعیینشده
• تنظیم رنگ و درجه شفافیت برای تمامی اندام
• قابلیت مشخص کردن ناحیه مورد نظر در تصویر سهبعدی
• بازسازی سریع مدل سهبعدی
• نمایش مقاطع دوبعدی استاندارد از مدل سهبعدی
• قابلیت تعریف ناحیههای آناتومیکی حساس
• محاسبه خودکار حجم ناحیه بخشبندی شده
• ابزارهای اندازهگیری پیشرفته
گالری تصاویر سیستم






لوازم جانبی
تجهیزات کامل و حرفهای برای عملکرد بهینه



